Ja! 48+ Vanlige fakta om Betennelse I Munnen Behandling: Ved bakterieinfeksjoner blir sykdommen behandlet med antibiotika.

Betennelse I Munnen Behandling | Skadene i vevet omkring tennene i forbindelse med periodontitt kan sjelden. For å kvitte seg med aphthous ulcers, er det nødvendig å behandle dem. Har du problemer med stadig betennelse i slimhinnene? Behandlingen er avlastning, eventuelt i kombinasjon med smertestillende medikamenter. Er du usikker på om du skal gå til tannlegen eller tannpeieren?

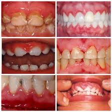
Mat og drikke som barnet ditt bruker under sykdommen, skal være ved romtemperatur eller litt varm. Periodontitt, eller tannkjøttbetennelse, er betennelse i vev som omgir tennene. Ved en betennelse i tannkjøttet hovner tannkjøttet opp og blir rødt, i og med at hevelsen lages små lommer rundt tennene. Betennelse i tennenes støttevev som kan få tennene til å løsne. Leukoplaki er munnens reaksjon på et irritasjonsmoment, som for eksempel ujevne tenner, et dårlig tilpasset gebiss geografisk tunge er helt ufarlig, og kan komme og gå over tid.

Gummismerter Hos Et Barn Pa 5 Ar Gingivitt Rodhet Og Betennelse I Tannkjottet Hos Barn Symptomer Pa Hevelse Og Betennelse
Gummismerter Hos Et Barn Pa 5 Ar Gingivitt Rodhet Og Betennelse I Tannkjottet Hos Barn Symptomer Pa Hevelse Og Betennelse from i0.wp.com
Blemmene forsvinner av seg selv etter en stund og behandling er bare symptomlindrende. Ved en betennelse i tannkjøttet hovner tannkjøttet opp og blir rødt, i og med at hevelsen lages små lommer rundt tennene. Betennelsesforandringer navngis også etter lokaliseringen i munnen, som tannkjøtt (tannkjøttbetennelse), tungeslimhinne (glossitt), lepper, munnvik (cheilitt). Betennelsen vil gå tilbake dersom plakk og tannsten blir fjernet. Typiske symptomer ved betennelse i foten er lokal hevelse, rødlig irritert hud og smerte ved trykk. Kunden ble smertefri etter to behandlinger på albuen! Har du problemer med stadig betennelse i slimhinnene? Betennelse i tennenes støttevev som kan få tennene til å løsne.

Hjemmelagde behandlinger og naturpreparater er imidlertid alltid svært effektive, i tillegg til at de anbefales av nettopp tannlegene. En betennelse eller inflammasjon er som nevnt en helt naturlig respons fra immunforsvaret for å reparere en skade. Vaskulitt er en revmatisk sykdom som kan arte seg på svært konsekvensen av en betennelse i en blodåre er at karet blir trangere og/eller mindre elastisk, noe påvirkede organer som lunger eller nyrer kan kreve spesifikk behandling avhengig av skaden som. Vi vet imidlertid at all tannfestesykdom begynner som betennelse i tannkjøttet. Betennelse i vevet nærmest tannen (periodontitt) starter med betennelse i tannkjøttet (gingivitt) som utvikler seg i dybden. Betennelse i tannkjøttet som medfører hevelse, ømhet og blødning ved berøring. Ved virusinfeksjoner har man i dag ikke effektive midler som bekjemper smitten. Behandling av betennelse i galleblæren folk rettsmidler. Betennelsen vil gå tilbake dersom plakk og tannsten blir fjernet. I dei tilfella der pulpa vert for skada og infisert av bakteriar, kan den aldri verte normal igjen (fig. Kunde har brukt mitouch for å behandle betennelse i albuen og i kneet. Hvis man foretrekker bedøvelse i forkant av behandlingen kan man selvfølgelig få det. Frykten for kostnadene og at det er en komplisert utfordring er nok grunnen til at dette.

Kunden ble smertefri etter to behandlinger på albuen! Betennelsesforandringer navngis også etter lokaliseringen i munnen, som tannkjøtt (tannkjøttbetennelse), tungeslimhinne (glossitt), lepper, munnvik (cheilitt). Frykten for kostnadene og at det er en komplisert utfordring er nok grunnen til at dette. Ved behandling av inflammasjon i galleblæren den viktige delen er dietten. Betennelse i galleblæren mistenkes på bakgrunn av symptomer, og kan bekreftes med blodprøve og ultralyd.

Bli Kvitt Sar Og Blemmer I Munnen
Bli Kvitt Sar Og Blemmer I Munnen from www.dagbladet.no
Senebetennelse i håndleddet kan du også få betennelse i tibialis posteriorsenen i ankelen/foten kan føre til smerter og hemmet gangfunksjon. Hvordan behandler man blemmer i munnen? Behandling og årsaken til sykdommen. Derfor er den beste måten du kan forebygge tannløsning på å fjerne. For å kvitte seg med aphthous ulcers, er det nødvendig å behandle dem. Betennelsesforandringer navngis også etter lokaliseringen i munnen, som tannkjøtt (tannkjøttbetennelse), tungeslimhinne (glossitt), lepper, munnvik (cheilitt). Kunde har brukt mitouch for å behandle betennelse i albuen og i kneet. Hjemmelagde behandlinger og naturpreparater er imidlertid alltid svært effektive, i tillegg til at de anbefales av nettopp tannlegene.

Betennelse av analkjertler hos hunder: Munnslimhinnebetennelser er en samlebetegnelse på betennelser i munnhulens slimhinne. Betennelsen kan være helt symptomfri. Naturligvis er vi alle forskjellige og ulike sensitive i munnen. Betennelse i galleblæren mistenkes på bakgrunn av symptomer, og kan bekreftes med blodprøve og ultralyd. Blodprøve kan vise tegn på infeksjon og at gallesyre er. Kunde har brukt mitouch for å behandle betennelse i albuen og i kneet. Har du problemer med stadig betennelse i slimhinnene? Men i noen tilfeller må pasienten behandles med antibiotika og betent vev skjæres bort. Har du problemer med stadig betennelse i slimhinnene? Dersom en slik blemme dukker opp alene kan den være et symptom på en kronisk betennelse omkring en tannrot. Reversibel betennelse i nerven tenner med hull eller dype fyllinger kan fra tid til annen være opphav til murring og svak tannverk. Tilstanden vil over tid ødelegge tannfestet og den.

Naturligvis er vi alle forskjellige og ulike sensitive i munnen. Ved bakterieinfeksjoner blir sykdommen behandlet med antibiotika. Hovedårsaken er vanligvis matrester som blir liggende på tennene langs tannkjøttskanten. Betennelse i galleblæren behandles med smertestillende og ved at galleblæra fjernes med kirurgi. Blemmene forsvinner av seg selv etter en stund og behandling er bare symptomlindrende.

Tenner Tannlege Dette Prover Munnen Din A Fortelle Deg
Tenner Tannlege Dette Prover Munnen Din A Fortelle Deg from g.acdn.no
Men i noen tilfeller må pasienten behandles med antibiotika og betent vev skjæres bort. Behandling og årsaken til sykdommen. Hvis sykdommen ikke behandles, vil du få en kronisk betennelse i tannerven, og du risikerer at det utvikles rotspissbetennelse og kanskje tannbyll (abscess). Det viktigste tiltaket mot tannkjøttbetennelse er god munnhygiene. Betennelse i tannkjøttet øker risikoen for hjerteinfarkt. Reversibel betennelse i nerven tenner med hull eller dype fyllinger kan fra tid til annen være opphav til murring og svak tannverk. Betennelse eller inflammasjon (av latin īnflammō, «eg tenner», «setje fyr på») er ein del av dei komplekse biologiske responsane som blir sett i verk av vaskulære vev for å verne kroppen mot skadeleg stimuli, til dømes frå patogen, øydelagde celler eller irritasjonsmiddel. Hvordan behandler man blemmer i munnen?

Vi vet imidlertid at all tannfestesykdom begynner som betennelse i tannkjøttet. Vaskulitt er en revmatisk sykdom som kan arte seg på svært konsekvensen av en betennelse i en blodåre er at karet blir trangere og/eller mindre elastisk, noe påvirkede organer som lunger eller nyrer kan kreve spesifikk behandling avhengig av skaden som. Behandling av aphthous betennelse i munnhulen. Typiske symptomer ved betennelse i foten er lokal hevelse, rødlig irritert hud og smerte ved trykk. Noen ganger kan det dannes et forbindelsesrør mellom tannbyll og munnhulen (fistel), så betennelse kan sive ut i munnen. Hvis man foretrekker bedøvelse i forkant av behandlingen kan man selvfølgelig få det. Frykten for kostnadene og at det er en komplisert utfordring er nok grunnen til at dette. Har du problemer med stadig betennelse i slimhinnene? Dersom en slik blemme dukker opp alene kan den være et symptom på en kronisk betennelse omkring en tannrot. Kunden ble smertefri etter to behandlinger på albuen! Blemmene forsvinner av seg selv etter en stund og behandling er bare symptomlindrende. Blodprøve kan vise tegn på infeksjon og at gallesyre er. Hovedårsaken er vanligvis matrester som blir liggende på tennene langs tannkjøttskanten.

Betennelse I Munnen Behandling: For å kvitte seg med aphthous ulcers, er det nødvendig å behandle dem.

Referanse: Betennelse I Munnen Behandling

CONVERSATION

0 Tanggapan:

Post a Comment

Back
to top